Our Gallery
Teeth Whitening
Internal Teeth Whitening
The grey teeth had the nerve taken out and the patient was not happy with the appearance. We carried out non-invasive, safe and comfortable treatment and significantly improved the appearance.
White Fillings
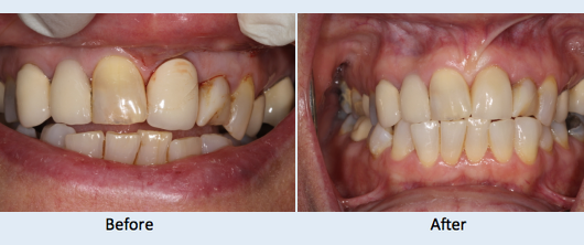
White Crowns
Mr B was previously told he was going to lose both of these broken down teeth. They were minimally prepared for crowns and these were bonded on.
Mrs G was concerned about the fracture in her porcelain bonded to metal crown. We decided to improve her smile by first doing some teeth whitening followed by replacing the crown on the upper left central incisor with a more aesthetic Emax crown. She left the surgery with confidence being able to smile again.





