Our Dentists aim to prevent dental disease rather than treat it at a later date.
We are happy to see your child just a soon as they have developed their baby teeth. Getting your child gradually used to our environment will relax them if future treatment is required.
For further information about children’s dental health please visit
http://www.dentalhealth.org/tell-me-about/topic/caring-for-teeth/children-s-teeth
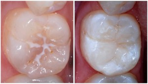
Fissure Sealant

Fissures are natural grooves/ valley shapes found on the biting surfaces of the back teeth. Permanant and baby teeth. Some people have ‘deep’ fissures meaning food/ bacteria gets stuck with greater ease causing a higher risk of decay. By ‘sealing’ these fissures we add a layer of material so food/debris does not accumulate preventing decay.